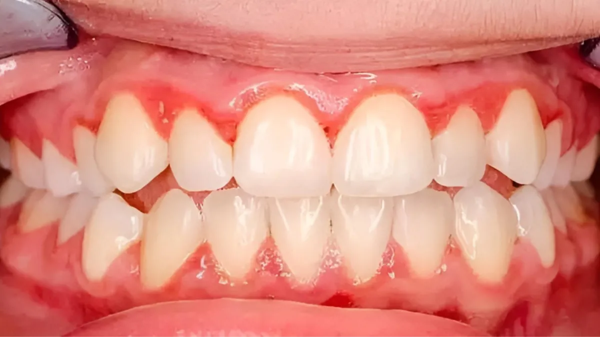
Šta uzrokuje probleme sa desnima i kako ih sprečiti?
Problemi sa desnima mogu biti uzrokovani nakupljanjem plaka i tartara, genetskim predispozicijama, pušenjem ili lošom oralnom higijenom. U našoj praksi, fokusiramo se na identifikaciju uzroka i pružanje saveta za prevenciju. Redovne stomatološke prozivke, pravilno čišćenje zuba i upotreba antibakterijskih sredstava mogu značajno smanjiti rizik od bolesti desni. Naša parodontološka usluga pruža sveobuhvatan pristup za očuvanje zdravlja desni.

500+
Zadovoljnih Pacijenata


Ako se suočavate sa problemima desni kao što su gingivitis ili parodontitis, efikasan tretman je ključan za očuvanje zdravlja usne šupljine. Naša parodontološka praksa koristi savremene tehnike i tretmane kako bi se rešili problemi sa desnima. Od profesionalnog čišćenja i skaliranja, do specijalizovanih terapija za napredne slučajeve, pružamo sve što vam je potrebno za zdravlje vaših desni.
Pogledajte priznanja i certifikate naše doktorke, koji potvrđuju njen visok nivo stručnosti i posvećenost kvalitetu.




Dobrodošli u "Doctor Smile", vašu premijeru destinaciju za sve stomatološke potrebe u Sarajevu. Naša ordinacija vodi se stručnošću dr. Aide i dr. Azre, koje zajedno pružaju vrhunsku skrb i njegu za vaš osmijeh. Nudimo širok spektar usluga, uključujući mobilnu i fiksnju protetiku, endodonciju (liječenje korijenskih kanala), parodontologiju, oralnu kirurgiju te konzervativnu stomatologiju koja obuhvata popravke zuba, zamjenu plombi, kompozitne nadogradnje i ultrazvučno skidanje kamenca. S predanošću prema svakom pacijentu, stvaramo osjećaj povjerenja i udobnosti u svakom koraku vašeg stomatološkog putovanja.




RECENZIJE I UTISCI NAŠIH PACIJENATA
Otkrijte šta naši pacijenti imaju da kažu o našoj stomatološkoj praksi